首页
财务会计
医药卫生
金融经济
考公考编
外语考试
学历提升
职称考试
建筑工程
IT考试
其他
登录
金融经济
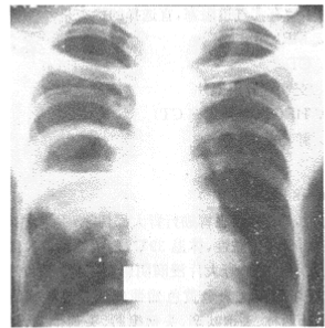
(70-71题共用题干) 阅读胸片
(70-71题共用题干) 阅读胸片
shuhaiku
2020-05-20
15
问题
(70-71题共用题干)阅读胸片
选项
病灶部位A.右肺下野B.右肺上野C.右肺中野D.左肺E.纵隔
答案
C
解析
转载请注明原文地址:https://ti.zuoweng.com/ti/64TdKKKQ
相关试题推荐
(1-3题共用题干) 患者,男,43岁,左下后牙咬合不适2年,1天前开始出现自
(77-79题共用题干) 男,60岁,腹痛,呕吐,停止排气排便。查体:腹胀,肠
(72-74题共用题干) 女性,50岁,颈部一颗色素痣近来迅速增大,破溃,色素
66-71题共用题干) 女性,68岁,卵巢癌术后3个月,门诊化疗,厌食伴呕吐,
(24-29题共用题干) 患者,男性,45岁,近半年来右下后牙遇冷水及吃甜食酸
(20-23题共用题干)
(29-31题共用题干) 男性,8岁,因一天来发热,半天来神志不清并抽搐一次于
(58-59题共用题干) 女,59岁,被汽车碾压骨盆3小时后送至医院。查体:病
(53-54题共用题干) 女性,30岁,患高功能甲状腺腺瘤,拟行手术切除,术前
(51-52题共用题干) 男性,49岁。酒后驾车,外伤性脾破裂,拟行剖腹探查术
随机试题
痛风急性发作期禁用 A、碳酸氢钠 B、别嘌醇 C、布洛芬 D、萘普生
下列关于创新的论述中,正确的是()。 A.创新与继承是对立的 B.创新就是
乳牙患龋在哪一个年龄段达到高峰
代销期满,原股东认购股票的数量未达到拟配售数量的比例为()时,发行人应当按照发
1999-146.人参、白术同用的方剂是 A.完带汤B.健脾丸C.真人养脏
“阴胜则阳病,阳胜则阴病”说明 A.阴阳对立制约 B.阴阳互根互用 C.阴
目前从北京教育考试院自考办了解到:2001年下半年我市有25万人报名参加自学考试,其中外地考生占46%。今年总报考科次达57万。 据自考办有关人...
某房地产开发公司将其拥有的房地产抵押给银行,以担保未来3年连续获得总额1.2亿元人民币的贷款额度,下列表述中正确的有()。A.该抵押属一般房地产抵押B.该
某纺织厂为进行技术革新,从国外引进纺织机5台,并配套相应的生产设备若干,该厂再次投产前需要进行安全评价。评价机构可采用的评价方法有:①概率风险评价法;②作...
某工程用工料单价法计算,以人工费为基础计算建筑安装工程费。该工程直接工程费为400万元,其中人工费为100万元,措施费为直接工程费的5%,其中人工费占50...