首页
财务会计
医药卫生
金融经济
考公考编
外语考试
学历提升
职称考试
建筑工程
IT考试
其他
登录
金融经济
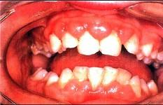
患者,男性,19岁,主诉:前牙牙龈红肿肥大1年余。临床检查:上唇短,上前牙唇侧牙
患者,男性,19岁,主诉:前牙牙龈红肿肥大1年余。临床检查:上唇短,上前牙唇侧牙
Loveyou
2019-12-17
6
问题
患者,男性,19岁,主诉:前牙牙龈红肿肥大1年余。临床检查:上唇短,上前牙唇侧牙龈边缘及龈乳头增生肥大,覆盖牙冠的1/3,质地较韧。最可能的诊断是 ( )
选项
A.增生性龈炎B.牙龈纤维瘤病C.青春期龈炎D.慢性龈缘炎E.急性坏死性溃疡性龈炎
答案
A
解析
转载请注明原文地址:https://ti.zuoweng.com/ti/8mH9KKKQ
相关试题推荐
某市安全监督部门派出安全监督检查人员对在建工程进行安全监督检查,安全监督检查人员
某施工单位拒绝安全生产监督检查人员依法实施监督检查,且拒不改正,可对该施工单位处
施工单位防火检查的内容不包括()。
下列选项中,不属于施工单位防火检查内容的是()。
建筑施工企业负责人应带班实施对工程项目质量安全生产状况进行检查,建筑施工企业负责
某施工企业专职安全员在对安全生产进行现场监督检查时,发现安全隐患,可及时向()报
施工单位专职安全生产管理人员负责对安全生产进行现场监督检查。发现安全事故隐患,应
属于心病临床表现的是()
属于痰证临床表现的是()
患者月经紊乱,经色紫暗,胸胁乳房胀痛,脉弦,治疗除主穴外,宜配用()
随机试题
农村金融在()层次上,要构建保障农村信贷机构竞争良性运转的制度基础。
房地产开发项目竣工后,房地产开发企.业应当向()提出竣工验收申请。.
课外活动
肾后性急性肾衰竭发生的常见原因是A.大面积烧伤B.严重挤压伤C.双侧输尿管结石D.药物中毒E.低血容量休克
高热头痛,口噤齘齿,强背强急,四肢抽搐,角弓反张,甚则神昏痉厥者,可选用A.安宫牛黄丸B.至宝丸C.独参汤D.回阳救急汤
1944年布雷顿森林会议后,()成为世界金融中心。A.伦敦B.纽约C.东京D.华盛顿
成人部分性发作的首选治疗药物是A卡乌西平B丙戊酸钠C托吡酯D乙琥胺E苯巴比妥
根据《标准施工合同》,表明合同终止的行为是( )。A.竣工验收合格B.工程移交C.竣工D.结清单生效
某社会工作服务机构开展“每天添个菜”项目,计划给贫困地区儿童每天的午餐补贴一个肉菜,目前已有5万多名儿童从该项目中受益。该项目对当地儿童的长效影响是()。A:机
一家专门从事符合条件的节能节水项目的企业,2008年取得第一笔营业收入,2011年实现应纳税所得额(假设仅是节能节水项目所得)100万元,假设该企业适用2...