首页
财务会计
医药卫生
金融经济
考公考编
外语考试
学历提升
职称考试
建筑工程
IT考试
其他
登录
金融经济
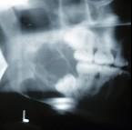
某患者一侧下颌磨牙区、下颌角及升支部渐进性膨大,按之有乒乓球感。X线片(如图)示
某患者一侧下颌磨牙区、下颌角及升支部渐进性膨大,按之有乒乓球感。X线片(如图)示
tikufree
2019-12-17
7
问题
某患者一侧下颌磨牙区、下颌角及升支部渐进性膨大,按之有乒乓球感。X线片(如图)示多房性密度减低影,分房大小相差悬珠,分隔清晰锐利、阴影边缘呈切迹状,阴影内牙根尖有不规则吸收。该病最可能的诊断是 ( )
选项
A.颌骨血管瘤B.成骨肉瘤C.牙源性纤维瘤D.牙源性角化囊肿E.成釉细胞瘤
答案
E
解析
转载请注明原文地址:https://ti.zuoweng.com/ti/TBH9KKKQ
相关试题推荐
患者,男,82岁,诊断为帕金森病,给予左旋多巴联合卡比多巴治疗,产生的药物相互作
患者,男,62岁,临床使用青蒿素和乙胺嘧啶联合治疗疟疾,产生的药物相互作用属于(
甲状腺功能亢进合并哮喘的患者慎用的药物是()
患者突发心前区压榨性疼痛,立即取出硝酸甘油片,正确的使用方法是()
患者,男,40岁,因感冒所致鼻塞到药店购药,药师应推荐的药品是()
患者,男,60岁,因轻度冻疮(无破溃)到药店购药,药师应推荐的药品是()
患者,男,60岁,因水泡型足癬到药店购药药师应推荐的药品是()
患者,女,45岁因发热、流涕就诊,诊断为感冒,医生处方:感冒清片2片tidp
患者,男,65岁,因腹胀,呕吐就诊,医生处方,甲氧氯普胺片20mgtidp
患者,男,36岁,因发热、咳嗽就诊,查血常规:白细胞计数6.28×109/L,中
随机试题
港口与航道工程安全生产要求中,施工现场技术负责人应向参加施工的工程船舶、水上水下
(76-78题共用题干) 男性患者,30岁,3天前受凉后出现寒战、高热,伴咳嗽
海金沙采收加工须
某男,40岁,大便发黑2天,无呕血;有胃溃疡史两年;嗜烟酒。请分析若排除进食动物
2016年,我国全年完成邮电业务收入总量43344亿元,比上年增长52.7%。其
以下属于海外领队工作职责的有()
在面部,除血供特别丰富的部位外,随意皮瓣长宽之比通常不超过()A.3:1B.5~6:1C.2:1D.1:1E.4~5:1
干燥失重测定法是测定A.有色杂质B.遇硫酸易炭化的杂质C.水分及其他挥发性物质D.不溶性杂质E.硫酸盐杂质
在对投资项目进行定性分析评估时采用的特尔斐法,又称为()。A:对比类推法B:评判意见法C:专家调查法D:购买意图调查法
根据我国《信托法》的规定,信托文件必须载明的事项有()。A、信托目的B、信托财产的范围、种类及状况C、信托期限D、信托财产的管理方式E、受益人取得信