首页
财务会计
医药卫生
金融经济
考公考编
外语考试
学历提升
职称考试
建筑工程
IT考试
其他
登录
金融经济
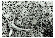
图片所示的是子宫颈肿瘤,最可能的病理诊断是 A.子宫颈高分化癌 B.子宫
图片所示的是子宫颈肿瘤,最可能的病理诊断是 A.子宫颈高分化癌 B.子宫
恬恬
2020-05-20
13
问题
图片所示的是子宫颈肿瘤,最可能的病理诊断是
A.子宫颈高分化癌B.子宫颈透明细胞腺癌C.子宫颈腺瘤D.子宫颈鳞状细胞癌E.子宫颈恶性淋巴瘤
选项
答案
B
解析
肿瘤细胞主要由丰富透亮胞浆具深染核异型的细胞组成,腺样或实性排列。符合子宫颈透明细胞腺癌。
转载请注明原文地址:https://ti.zuoweng.com/ti/hkgdKKKQ
相关试题推荐
下列哪个部位的电极出现肌电位差的可能性最小?( ) A.前颞电极
肝之病,知肝传脾,当先实脾,强调的是 A.早期诊断 B.先安未受邪之地 C
“大实有羸状”的病理基础 A.邪气亢盛,正气衰败 B.脏腑气血虚极 C.实
元气不足,全身或某些脏腑功能衰退的病理变化称作 A.气陷 B.气滞 C.气
(123-124题共用题干) 男性,30岁。临床诊断:深Ⅱ度烧伤面积20%,Ⅲ
不属于周围神经的基本病理损伤类型的是( )。 A.瓦勒变性 B.
有眼睑下垂的重症肌无力患者,还可能有的症状是( )。 A.瞳孔散大,光反
(108-110题共用备选答案) A.经尿道膀胱肿瘤切除术(TURBt) B
(37-40题共用备选答案) A.沙赫特和辛格理论 B.伊扎德的动机-分化理
癫痫样放电( )。 A.是癫痫发作的病理生理学基础 B.单个神经
随机试题
合成脂肪酸所需的氢由下列哪一种物质提供() A.NADP B.NADPH+H
单位、家庭等集体旅游合同中的任何一位游客,均可以自己的名义起诉。
液体药剂品种很多,类别不同,组方也不同。 A.甘油-水 B.乙醇-水 C.
男性,病史2周,贫血伴周身出血点,浅表淋巴结不肿大,胸骨压痛(+),肝脏轻度肿大
B
在城市工程管线的分类中,地埋管线属于按()进行的分类。 A.不同性能和用途
治疗畏寒肢冷,腰膝痠痛,小便频数,精神疲乏,并见疮疡不敛者,应首选A.党参B.黄芪C.鹿茸D.续断E.何首乌
大量龋齿提示A干燥综合征B系统性红斑狼疮C类风湿性关节炎D痛风E骨关节炎
结果主导型的绩效考评的优点是()。A:操作简单,能够激励员工提高技能B:开发成本小C:实施成本低廉D:反馈功能好
投资是GDP的三大构成部分之一,下列属于投资的有()。A.私人购买住房的支出B.政府消费C.固定资本形成D.非房地产投资E.存货增加