首页
财务会计
医药卫生
金融经济
考公考编
外语考试
学历提升
职称考试
建筑工程
IT考试
其他
登录
金融经济
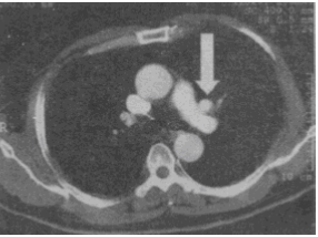
箭头所指的解剖结构是 A.左无名静脉 B.左上肺动脉 C.左上肺静脉 D
箭头所指的解剖结构是 A.左无名静脉 B.左上肺动脉 C.左上肺静脉 D
Loveyou
2020-05-20
9
问题
箭头所指的解剖结构是
A.左无名静脉B.左上肺动脉C.左上肺静脉D.左肺上叶尖段动脉E.左上肺叶间静脉
选项
答案
C
解析
转载请注明原文地址:https://ti.zuoweng.com/ti/jnddKKKQ
相关试题推荐
哪种不是防止深静脉血栓形成有效的治疗方法 A.注射肝素 B.穿高弹力袜 C
瘢痕的基本结构是 A.胶原纤维 B.机化的结缔组织 C.肉芽组织 D.上
静脉曲张的病因主要是 A.静脉瓣膜功能不全 B.静脉内膜炎症 C.静脉侧支
脑梗死的病因不包括 A.高血压 B.动脉粥样硬化 C.风湿性动脉炎 D.
血栓闭塞性脉管炎的诊断要点中,错误的是 A.青壮年男子多见 B.肢体足背动脉
有发热和白细胞增高的软组织感染的治疗首选 A.局部使用抗生素 B.静脉应用抗
对严重偏瘫患者的下肢深静脉血栓的预防,建议使用 A.小剂量尿激酶 B.小剂量
面部上唇周围和鼻部的疖可引起最危险的并发症是 A.颅内化脓性海绵窦静脉炎 B
颈椎病的分型不包括 A.神经根型 B.脊髓型 C.椎动脉型 D.交感型
有关主动脉弓的说法中,错误的是 A.起止点均位于第4胸椎体下缘平面 B.前方
随机试题
临床上称Rh阴性是指红细胞上 A.缺乏C抗原 B.缺乏D抗原 C.缺乏E抗
设计地下室外墙时选用的土压力是( )。
内服壮阳通便,外用杀虫止痒的药物是
下列选项中不属于实施MRPⅡ前期工程的是()。
按税负能否转嫁分类,增值税属于()。
证券公司融资融券的业务决策机构的职责为()。 A.负责制定融资融券业务操作流
导游语言从狭义的角度上看,是导游人员与游客( )时使用的一种具有丰富表达力、生动形象的口头语言。A.传播文化B.导游讲解C.信息沟通D.洽谈商务E.交流
对于大气一级评价项目,风速资料应分析的内容包括()。A:年平均风速的月变化B:平均风速的月变化曲线图C:季小时平均风速的日变化D:季小时平均风速的日变化曲
某企业2013年生产职工人数达1000人,当地政府人均月计税工资标准为2000元,该企业在计算应税所得额时,该年准予抵扣的工资费用额是()元。A:2400000
在弗里德曼的货币需求函数中,与货币需求成负相关关系的因素有()。A:存款的预期收益率B:股票的预期收益率C:恒常收入D:债券的预期收益率E:人力资本比重